「歯がなくなってから」では遅い、と感じている方へ

60代、70代になると、多くの方が同じ不安に直面します。
「このまま噛めなくなったら、食事はどうなるのか」「入れ歯で、本当に一生大丈夫なのか」「他院で「骨が足りないから無理」と言われたが、本当に方法はないのか」と。
一方で、心の奥には必ず別の声があります。
「インプラントは怖い」「失敗したら取り返しがつかない」。
ここで大切なのは、励ましでも、勢いでもありません。「この治療は成立するのか」を、事実で判断できることです。
吉留英俊 は、そのために30年以上、インプラント治療だけを積み重ねてきた歯科医師です。派手な宣伝ではなく、判断の積み上げで信用を作ってきました。
数字が示す「経験の密度」―― 年間1,600本以上という事実の重さ
■インプラント埋入実績
| 項目 | 内容 |
|---|---|
| インプラント治療開始 | 1990年 |
| 臨床経験年数 | 30年以上 |
| 直近の年間埋入本数 | 約1,600本以上 |
| 特徴 | 一人の歯科医師が継続的に執刀 |
重要なのは「数字の大きさ」ではありません。この数字が意味するのは、
- 骨が十分にあるケース
- 骨が極端に少ないケース
- 上顎が成立しにくいケース
- 総義歯で噛めないケース
- 他院で断られた難症例
こうした条件を、日常の判断として繰り返し経験してきました。ここに、臨床の密度があります。
「肩書き」ではなく「第三者評価」―― 学会資格が示す客観性

医療の世界で、自己申告ほど当てにならないものはありません。一方で、第三者評価は簡単に得られません。
■ 主な資格・所属学会
| 学会・団体 | 資格・立場 |
|---|---|
| ICOI(国際口腔インプラント学会) | 指導医・専門医・認定医 |
| ISOI(国際口腔インプラント学会) | 認定医 |
| 日本顎咬合学会 | 認定医 |
| SJCD / JIADS | 所属 |
これらが示すのは、単なる所属ではありません。
- 治療するだけでなく、教える立場にある
- 手技だけでなく、評価される立場にある
つまり、再現性と基準の中で臨床を積み上げているということです。「うまい」ではなく、「ぶれない」。ここが大きいと考えます。
年表で分かる「積み重ねの重さ」―― 一過性ではない臨床人生
| 年 | 出来事 |
|---|---|
| 1989年 | 広島大学歯学部 卒業 |
| 1990年 | よしどめ歯科 開院 |
| 1998年 | 医療法人翔優会 設立 |
| 2021年 | 東京銀座モンブランビルクリニック 開院 |
ここで重要なのは、「最近インプラントを始めた人」ではない点です。日本でインプラントが一般化する前から臨床を積み、試行錯誤を重ね、30年以上インプラント一筋できました。
「難しい」と言われる理由に、答えを持っている―― 難症例対応は「技術」ではなく「設計」で決まる
他院で断られる理由は、だいたい同じです。
- 骨が薄い
- 骨が足りない
- 上顎に支えがない
- 総入れ歯で噛めない
ここで勘違いが起きます。「骨がない=できない」と思い込んでしまいます。
しかし現実は、骨をどう補い、どう支え、どう維持するかで結論が変わるのです。
| 状況 | 対応する治療法 |
|---|---|
| 骨量不足 | GBR、サイナスリフト、ソケットリフト |
| 骨幅不足 | リッジエキスパンジョン |
| 上顎の極端な骨不足 | ザイゴマインプラント |
| 総義歯で噛めない | All-on-4 |
高度な術式は、使えることより、使うべき条件を判断できるかが本質です。
症例が語るもの―― 吉留英俊は「できるか」ではなく「成立するか」を見る

インプラント相談で最も多い言葉があります。「骨が足りないので難しいですね」。この言葉は、不可能を意味しているわけではありません。
- どこまで検討した上でのNOなのか
- 条件を変えた場合の成立可能性を検討したのか
ここが語られないと、患者は判断不能になります。吉留英俊の診断は、常に 「成立条件」 から始まります。
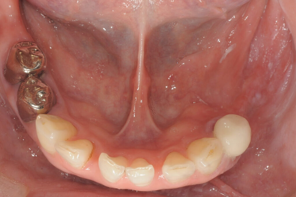
症例1|骨量不足で断られたケース
――「骨が足りない」というNOを、どう再定義したか
■背景
50代女性。下顎奥歯の欠損。片側咀嚼が続き、噛み合わせ全体への不安が強まっていました。他院でインプラント相談を行いましたが、「骨量が足りないため難しい」と説明され、治療を断念しました。
この時点で患者が抱えるのは、治療の可否だけではありません。「放置して悪化するのではないか」「しかし怖いものに踏み込むのも不安」という、迷いも生まれます。
■問題点の整理
- 骨量が少ないこと自体は事実
- ただし、本来検討すべきは
- 骨造成を行えば成立する可能性があるのか
- 成立させた場合に長期安定が見込める条件か
- つまり「骨が少ない」という確認だけで終わり、成立条件の判定がなされていなかった
■当院での判断
吉留英俊が行ったのは、「できるかどうか」ではなく、「成立させた場合に安定するかどうか」の検討です。
- 骨造成(GBR)を併用した場合の骨の獲得量の見込み
- 咬合負荷の方向(どの方向に力がかかるか)と分散の設計
- 術後管理を継続できる条件(通院、清掃、生活習慣)
これらを精査した結果、条件付きでできると判断しました。
- 条件を満たせない場合 → 実施しない
- 条件を満たせる場合のみ → 治療を選択肢として提示
「できます」と言って押すのではありません。成立条件と限界を先に共有し、患者が納得して選べる状態を作ってから実施します。
■選択した治療
- 骨造成(GBR)を併用したインプラント治療
- 治療期間・リスク・限界を事前に共有したうえで実施



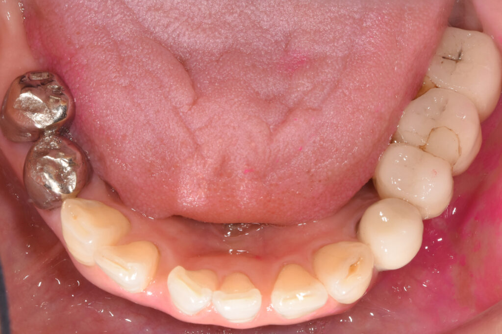
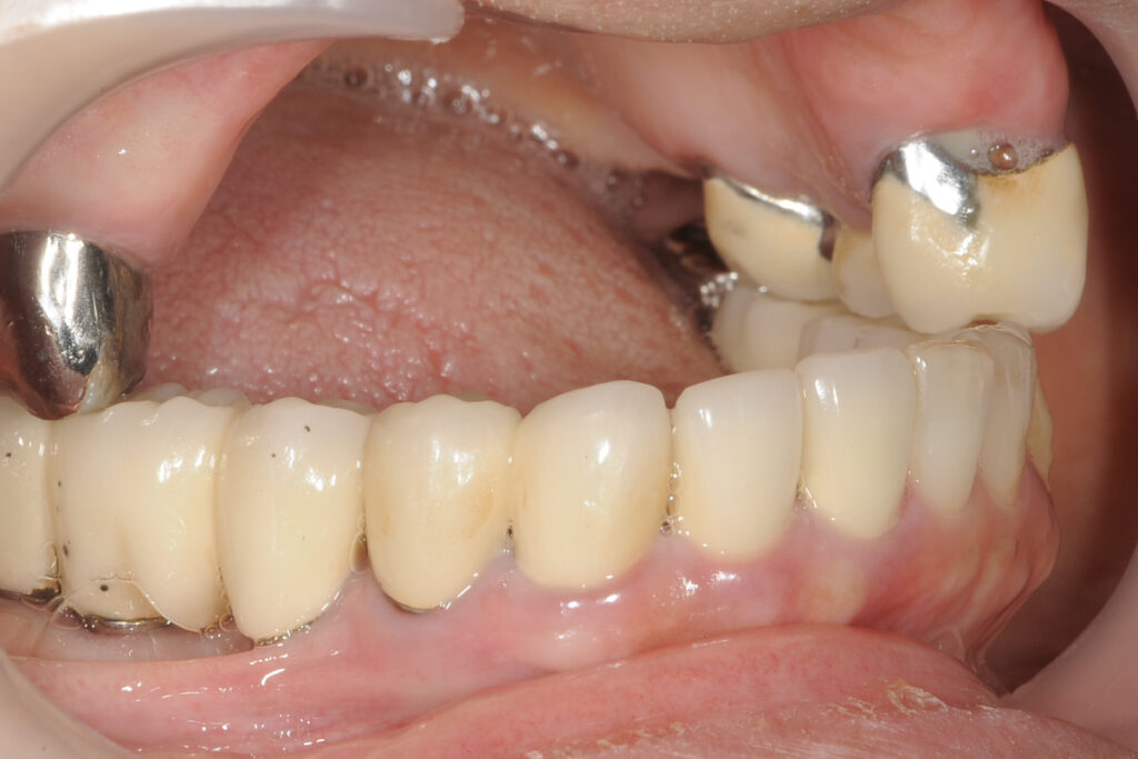
■結果としての状態
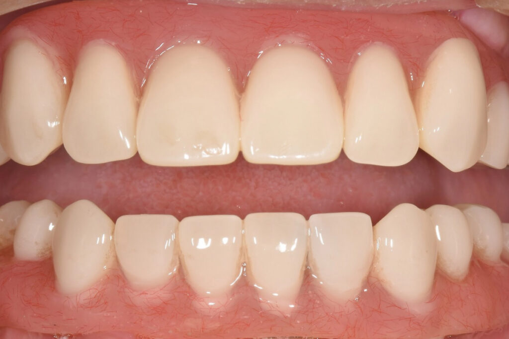
治療は完遂しました。現在は定期管理下で、機能的・構造的に安定した状態を維持しています。患者の実感は「噛める」だけではありません。「これ以上悪化させないで済む」という安心が残りました。
■術後管理設計
- 定期検診:3〜4か月ごと
- 管理内容:咬合チェック/清掃状態の確認/炎症兆候の早期発見と対応
- 方針:異常が小さい段階で手を打つ(大きく崩れてからでは遅い)
■この症例が示すこと
骨が足りない=即NOではありません。しかし、すべての骨不足がGOになるわけでもない。重要なのは、成立条件を見極める判断なのです。
【比較表①】症例1|骨量不足で断られたケース
「骨が足りない」というNOの中身の違い
| 観点 | 他院での判断 | 当院(吉留英俊)の判断 |
|---|---|---|
| 骨量の評価 | 現在の骨量のみを評価 | 骨造成後に獲得できる骨量まで含めて評価 |
| 判断軸 | 骨が少ない → 困難 | 成立条件を満たせば可能 |
| 骨造成の扱い | 検討されていない/説明なし | GBR併用による成立可否を具体的に検討 |
| 咬合の視点 | 明示なし | 咬合力の方向・集中を精査し分散設計 |
| 術後管理 | 判断材料に含まれない | 管理継続性を成立条件に含める |
| リスク説明 | 概括的になりやすい | 期間・リスク・限界を事前共有 |
| 結論 | 治療不可 | 条件付きで治療を選択肢として提示 |
症例2|上顎骨が極端に薄いケース
――ザイゴマインプラントを「使わない判断」も含めて
■背景
60代男性。上顎ほぼ無歯顎。食事制限が続き、外食を避ける生活になっていました。他院では、「骨が極端に薄く、通常のインプラントは不可能」と説明されました。
ここで患者が失うのは歯だけではありません。「噛めない将来が確定していく感覚」「もう方法がないのではという諦め」です。
■問題点の整理
- 上顎骨の骨量・骨質ともに厳しい
- 通常の骨造成では長期安定が見込めない
- 一方で、ザイゴマインプラントという選択肢は存在
- ただし、術式があることと、その人に適応できることは別
■当院での判断
吉留が検討したのは、「ザイゴマを使えるか」ではなく、「使った場合に、その人の生活条件で管理できるか」です。
- 全身状態
- 術後管理の継続性(通院、清掃、生活の安定)
- 咬合力と負荷方向
これらを踏まえ、ザイゴマインプラントを選択肢として提示しました。同時に、リスクと限界を具体的に説明します。高度な治療ほど「良い面だけ」を言いがちですが、そうはしません。
- 管理継続が難しい → ザイゴマを選ばない
- 条件を満たす → 選択肢として提示し、本人が納得して選べる状態を作る
■選択した治療
- 条件を満たすことを前提に、ザイゴマインプラントを用いた治療
- 通常法を無理に拡張する選択は行わず



■結果としての状態
噛む機能の回復とともに、長期管理を前提とした設計が成立しました。「設計が成立」とは、手術が終わったという意味ではありません。10年単位で維持できる見通しが構造として成立したということです。
■術後管理設計
- 定期検診:3〜4か月ごと
- 管理内容:清掃状態の確認/炎症兆候の早期発見/咬合バランスの調整
- 方針:高度術式ほど、術後管理を“治療の一部”として扱う
この症例が示すこと 高度な術式は、使えること自体が価値ではありません。使うべき条件かどうかを判断できることが重要です。
【比較表②】症例2|上顎骨が極端に薄いケース
ザイゴマインプラントに対する判断の違い
| 観点 | 他院での判断 | 当院(吉留英俊)の判断 |
|---|---|---|
| 上顎骨の評価 | 骨量・骨質が厳しい → 不可寄り | 同左(事実として共有) |
| 選択肢の提示 | 通常のインプラント不可で終了 | ザイゴマという選択肢の存在を提示 |
| 術式の扱い | 実施可否で判断 | 生活条件まで含めて適応判断 |
| 全身状態 | 判断材料に含まれないことがある | 適応条件として必須 |
| 術後管理 | 深く検討されない | 管理継続性を最重要条件として評価 |
| リスク説明 | 抽象的・簡略になりやすい | 限界・リスクを具体的に説明 |
| 結論 | 治療困難 | 条件を満たす場合のみ実施/満たさなければ選ばない |
症例3|ほぼ歯が残っていないケース
――All-on-4を「即決しなかった」理由
■背景
70代男性。残存歯はあるものの保存が難しく、食事に大きな不自由がありました。複数の医院でAll-on-4を勧められましたが、判断に迷って来院されました。この段階の患者心理は、2つの間で揺れています。
- 早く何とかしたい
- しかし大きな治療で失敗したくない
■問題点の整理
- 歯をすべて抜歯し、即時に噛めるようにする選択肢がありました。
- ただし
- 全身状態
- 咬合力
- 術後管理
によって、リスクは大きく変わる
- All-on-4は効果的ですが、誰にでもいつでも最適解になるわけではありません。
■当院での判断
吉留が行ったのは、「All-on-4ができるか」ではなく「この症例で最適解か」の検討です。
- 抜歯のタイミング
- 仮歯期間の設計(急ぎ過ぎない構造)
- 長期的な咬合の安定性
これらを精査し、即時実施は見送りました。患者が望む「早さ」より、10年の安定を優先して、言いにくい判断をしました。
- 即時実施がリスク高 → 見送り
- 条件が整った時点で → 実施
■選択した治療
- 段階的な治療計画
- 条件が整った時点でAll-on-4を実施



■結果としての状態
治療は計画どおり進行し、無理のない形で咬合を回復しました。患者が得るのは「噛める」以上に、これなら続けられるという見通しです。高齢層にとって、ここが最も大切です。
■術後管理設計
- 定期検診:3〜4か月ごと
- 管理内容:咬合バランスの点検/仮歯・最終補綴の状態確認/清掃状態の確認
- 方針:急いだ代償を後から払わない。最初に設計で回避する。
この症例が示すこと All-on-4は強力な選択肢です。しかし、急がない判断が結果的に安定を生むケースもあります。
【比較表③】症例3|ほぼ歯が残っていないケース
All-on-4を「急ぐ判断」と「待つ判断」の違い
| 観点 | 他院での判断 | 当院(吉留英俊)の判断 |
|---|---|---|
| 患者ニーズの扱い | 早く噛めることを最優先にしやすい | 10年後の安定を最優先 |
| All-on-4の位置づけ | 即時回復の手段として提示されがち | 条件が整った場合の最適解 |
| 抜歯タイミング | 即時実施に寄りやすい | 全身状態・負担を考慮し再設計 |
| 仮歯期間 | 短縮・省略されがち | 長期安定のために必要な期間を確保 |
| 術後リスク説明 | 明示されないことがある | 長期リスクを事前に共有 |
| 結論 | 即時All-on-4 | 段階的治療→条件成立後に実施 |
全症例に共通する、吉留英俊の判断基準
症例に共通するのは、術式ではありません。判断の軸です。
- できるか、ではなく成立するか
- 今よいか、ではなく10年後も安定するか
- 技術を使えるか、ではなく使うべき条件か
この判断を支えているのが、
- 圧倒的な臨床量
- 多様な成功と失敗の蓄積
- チーム医療と長期管理設計
です。
【総括比較表】「他院判断」と「吉留英俊の判断」を分ける本質
| 評価軸 | 他院で多い判断 | 吉留英俊の判断 |
|---|---|---|
| 判断基準 | 今できるか | 成立させた場合に安定するか |
| 時間軸 | 現在 | 10年後まで含める |
| 術式の扱い | できる術式を選ぶ | 使うべき術式だけを選ぶ |
| 管理視点 | 治療前中心で終わりやすい | 治療後管理まで含めて設計する |
| リスク説明 | 抽象的になりやすい | 具体的・事前共有 |
| 提示方法 | 実施 or 不可 | 条件付き選択肢として提示 |
| 患者の立ち位置 | 医師の判断に従う | 本人が納得して選べる状態を作る |
なぜ「最後に相談される歯科医師」なのか。吉留英俊は、派手な言葉で患者を急がせません。
- 急がせない
- 煽らない
- できない可能性も正直に語る
その姿勢は、一見すると地味です。しかし医療において地味さは、しばしば 誠実さ です。結果として残るのは、派手さではありません。長く噛めるという現実です。
もしあなたが、
- 他院で断られた
- このまま噛めなくなる不安がある
- 最後は「経験のある人」に任せたい
そう感じているなら、相談する価値は十分にあります。
